














Odontopediatria pela Universidade Federal do Rio Grande do Sul
Sabe exatamente o que é estar do outro lado da cadeira
Dedicação exclusiva ao atendimento odontológico infantil
Ortodontia e reabilitação para cuidado completo







(51) 98244-3920
odontobarbeta@gmail.com
Canoas - RS
Clique aqui e veja no mapa
Segunda a Sexta: 8h às 18h
Sábados: 8h às 12h
Urgência 24h: Sempre disponível
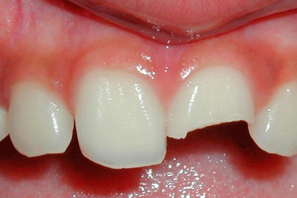
SIM! Você precisa procurar ajuda imediatamente e de preferência, guardar o dente em líquido, leite, soro ou água
24horas. Vale ressaltar que a equipe não permanece na clínica, portanto é necessário realizar o agendamento por telefone
Sim! É importante procurar auxílio profissional para descartar lesões mais profundas e consequente perda precoce dos dentes
Sim! Avaliamos caso a caso e realizamos sedação consciente ou total, sempre com segurança e acompanhamento de anestesista quando necessário.
Claro! Temos ampla experiência com pacientes neurodivergentes e garantimos um atendimento respeitoso, acolhedor e adaptado às necessidades especiais de cada criança.
É muito simples! Basta clicar no botão de WhatsApp em nossa página e nossa equipe fará o atendimento rápido para agendamento.
Atendemos crianças, jovens e adultos de todas as idades.